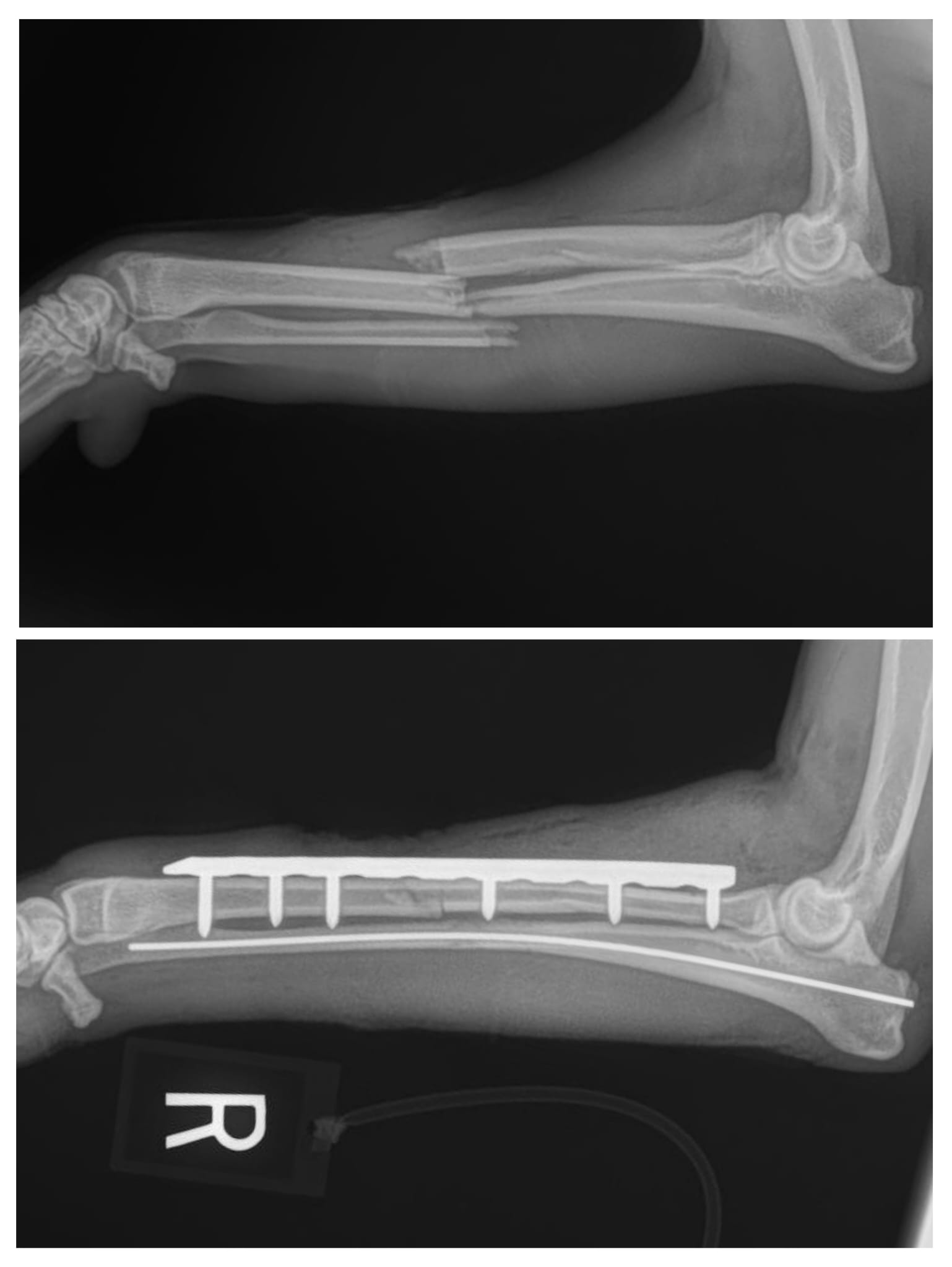
Our practice provides several advanced surgical procedures, including certain stifle (knee) and hip surgeries, internal fracture repair, laparoscopy, and total ear canal ablation with lateral bulla osteotomy, which are commonly referred to specialty centers. We want to be clear that our veterinarians are not board-certified surgeons, and we do not present ourselves as specialists.
We strongly believe in transparency, education, and client choice. When appropriate—and especially when financially and logistically feasible—we recommend consultation or treatment with a board-certified veterinary surgeon for complex cases.
At the same time, with thoughtful case selection and experience, we are able to perform many advanced procedures successfully and have helped many pets recover and thrive. Our goal is always to act in the best interest of each patient while ensuring owners are fully informed of all available options. Thank you for entrusting us with your pet’s care.
request an appointment


